Skip to content
Menu
الرئيسية
من نحن
خدماتنا
تنظيف الجير
حشو تجميلي علاجي
التركيبات الثابتة
تقويم الأسنان
علاج الاطفال
تبييض الأسنان
حشو العصب
المدونة
اتصل بنا
Close Menu
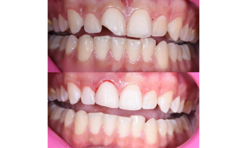
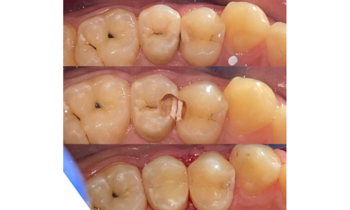
حشو تجميلي علاجي
احجزي الان