Skip to content

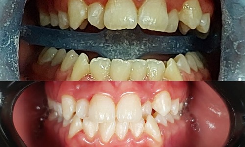
تبييض الاسنان

12
11