Skip to content
Menu
الرئيسية
من نحن
خدماتنا
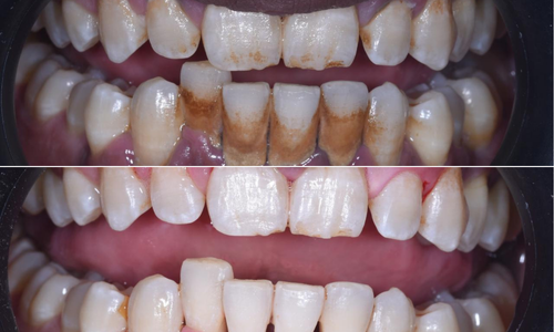
تنظيف الجير
حشو تجميلي علاجي
التركيبات الثابتة
تقويم الأسنان
علاج الاطفال
تبييض الأسنان
حشو العصب
المدونة
اتصل بنا
Close Menu
تنظيف الجير
احجزي الان